Bạn có bị dư thừa axit?
Khi cơ thể dư axit nhẹ có thể dẫn đến các vấn đề như:
Tăng cân, béo phì và tiểu đường
Viêm khớp
Bàng quang, sỏi thận
Bệnh tim mạch
Suy giảm miễn dịch
Ung thư, bệnh mãn tính
Loãng xương
Lão hóa sớm
Tổn thương gốc tự do
Mệt mỏi mãn tính
Tiêu hóa chậm
Nấm men và nấm phát triển quá mức
Điều gì làm cho chúng ta có tính axit?
Những gì chúng ta ăn bao gồm thịt, cá, gia cầm, sữa, ngũ cốc, thực phẩm tinh chế hoặc chế biến, thức ăn nhanh
Những gì chúng ta uống bao gồm cà phê, nước giải khát, rượu, nhiều loại nước (cất, đóng chai ...)
Ảnh hưởng tâm lý như stress, lo lắng, những suy nghĩ tiêu cực
Thuốc lá
Alkaline trung hòa axit
Uống nước ion kiềm hàng ngày sẽ giúp trung hoà axit để duy trì hoặc khôi phục độ cân bằng pH tối ưu của cơ thể. Khi cơ thể của chúng ta ở trong trạng thái cân bằng, nhiều cơ chế kiểm soát tự điều chỉnh của chúng ta có thể hoạt động trong điều kiện lý tưởng để cung cấp chất dinh dưỡng cho tế bào của chúng ta một cách hiệu quả và giải quyết và loại bỏ các chất thải thông qua các kênh loại bỏ tự nhiên của cơ thể.
>>> http://crewelter.vn/cong-dung-tuyet-voi-cua-nuoc-ion-kiem-giau-hydro
Hiểu sự cân bằng pH
Cơ thể con người được thiết kế để duy trì độ cân bằng pH rất tinh vi trong các chất lỏng, mô và hệ thống của nó. Vì hầu hết các phản ứng sinh hóa cần thiết cho sự sống diễn ra trong môi trường nước, tuy nhiên, đó là huyết tương và chất lỏng kẽ của chúng ta xung quanh các tế bào nhạy cảm nhất với sự mất cân bằng acid-kiềm. Khi các chất lỏng này được duy trì trong khoảng pH hẹp 7,35 đến 7,45, hệ thống miễn dịch của cơ thể sẽ hoạt động trong điều kiện tối ưu và có khả năng chống lại bệnh tật. Mặt khác, việc axit hóa của cơ thể là một tình trạng nguy hiểm làm suy yếu toàn bộ cơ thể, và có thể gây ra một môi trường bên trong dẫn đến bệnh tật và thậm chí tử vong.
Một trong các cơ chế kiểm soát pH của cơ thể được gọi là hệ thống đệm acid-base . Chất đệm là các chất có khả năng ổn định pH trong dung dịch nước. Các bộ đệm kiềm (bazơ) được phóng thích vào trong dòng máu khi máu trở nên quá chua và ngược lại, các vùng đệm có tính axit sẽ hoạt động nếu pH máu trở nên quá kiềm.
Tuy nhiên việc ăn uống và lối sống của chúng ta khiến cơ thể gánh chịu một lượng axit lớn và hệ thống máu không theo kịp. Điều này dẫn đến việc axit hóa dần dần máu của chúng ta và cơ thể sẽ chuyển sang cơ chế khác để tự bảo vệ mình. Thế nhưng, những cơ chế luân phiên này đôi khi có thể gây ra các loại vấn đề khác có thể dẫn đến tăng cân, lão hóa sớm, và sự khởi phát của nhiều bệnh.
Tích lũy chất thải chuyển hóa
Mỗi tế bào sống trong cơ thể của chúng ta đều tạo ra các chất thải. Các chất dinh dưỡng từ thực phẩm của chúng ta được phân phối đến từng tế bào và chúng cháy với oxy để cung cấp năng lượng cho chúng ta để sống. Các chất dinh dưỡng bị đốt cháy là các chất thải. Những chất thải này, chủ yếu là axit, được thải ra từ cơ thể chúng ta thông qua các kênh loại bỏ khác nhau. Điều đó giải thích tại sao nước tiểu và mồ hôi lại có tính axit.
Tuy nhiên, vấn đề là nếu môi trường bên trong của chúng ta không được duy trì trong trạng thái cân bằng pH thì khả năng của chúng ta để loại bỏ các chất thải sẽ chậm lại. Để bảo vệ bản thân, cơ thể chuyển đổi chất thải axit thành chất thải rắn và lưu trữ nó trong những khu vực ít quan trọng hơn của cơ thể. Sự tích tụ chất thải rắn có thể góp phần gây ra nhiều vấn đề sức khoẻ bao gồm trọng lượng thừa, động mạch bị tắc, viêm khớp, sỏi thận, và các bệnh mãn tính khác.
Thiếu canxi
Canxi là tối cần thiết cho sức khoẻ hàng ngày. Nó không chỉ quan trọng trong sức khoẻ xương, mà còn đóng vai trò quan trọng trong việc kiểm soát huyết áp, chức năng thần kinh và đông máu. Khi máu bắt đầu trở nên quá chua và cung cấp bộ đệm kiềm trong máu không đủ để trung hòa axit này, tuy nhiên, máu tự động tìm kiếm cách khác để đạt được sự cân bằng pH. Vì canxi là chất khoáng rất kiềm, nên cơ thể sẽ bắt đầu lấy canxi từ xương và răng để cân bằng mức độ pH trong máu. Khi cơ thể tăng axit, càng nhiều canxi sẽ được lấy ra khỏi xương. Nếu không được kiểm soát trong một khoảng thời gian dài, tình trạng này có thể dẫn đến mất mật độ xương mà cuối cùng dẫn đến chứng loãng xương.
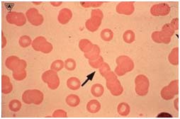
Tế bào máu xếp chồng lên nhau (Rouleau)

Các tế bào hồng cầu khỏe mạnh bao quanh bởi điện tích âm giúp đẩy mạnh khi chúng chạy qua hệ tuần hoàn
Các tế bào hồng cầu cung cấp oxy, axit amin, chất điện giải và vitamin cho tế bào và các mô trong cơ thể, và thu thập carbon dioxide và chất độc để loại bỏ. Các tế bào hồng cầu khỏe mạnh được bao quanh bởi một điện tích âm để chúng liên tục đẩy mạnh nhau khi chúng chạy qua hệ thống tuần hoàn của chúng ta. Điều này cho phép giải phóng chất dinh dưỡng hiệu quả và hấp thụ các chất thải. Tuy nhiên, khi máu của bạn trở nên có tính axit hơn, các tế bào hồng cầu mất phí âm và bắt đầu gắn bó với nhau, một quá trình được gọi là sự hình thành 'rouleau'. Khi điều này xảy ra, khu vực trao đổi tế bào máu bị giảm và tốc độ truyền máu chậm lại. Như vậy, khả năng tái tạo của cơ thể bị tổn thương.
- Theo aquahealthproducts.com